Mesothelioma in Women

Mesothelioma in Women Mesothelioma is often regarded as a man’s disease, but women can also contract this aggressive cancer. Mesothelioma in women tends to manifest differently, with a longer period between exposure and onset of the disease and a better overall survival rate. However, women may face more hurdles than men in obtaining a diagnosis. […]
Mesothelioma Causes

Mesothelioma Causes The only confirmed cause of mesothelioma is asbestos exposure. However, some people develop mesothelioma without any known exposure to asbestos. The most likely explanation in these cases is unknown asbestos exposure. While many risk factors increase the risk of mesothelioma, there are few, if any, proven mesothelioma causes outside of asbestos exposure. Navigate […]
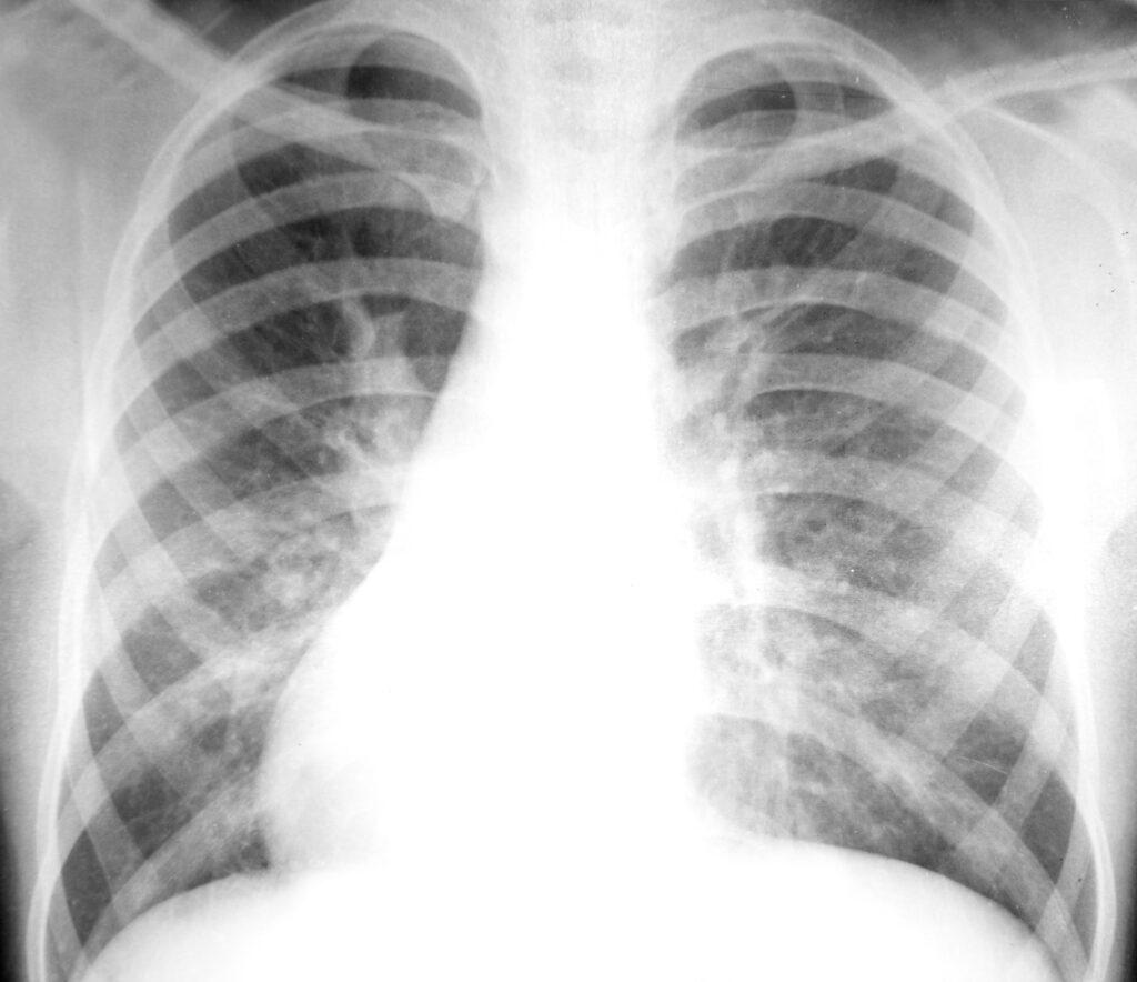
Pleural Mesothelioma

Pleural Mesothelioma Mesothelioma is cancer in the membrane of various organs. Pleural mesothelioma, also called malignant pleural mesothelioma or MPM, is found in the membrane between the lungs and chest wall, called the pleura. Without treatment, the average life expectancy of pleural mesothelioma is six months following diagnosis. Mesothelioma surgery, chemotherapy, radiation therapy, and other […]
Secondary Exposure to Asbestos
Secondary Exposure to Asbestos Secondary asbestos exposure occurs when someone comes in contact with asbestos on the hair, skin, clothing, or equipment of an exposed worker who unknowingly carries microscopic asbestos fibers outside the workplace. It most often impacts family members when the worker arrives home. Secondary asbestos exposure may lead to mesothelioma, and it […]
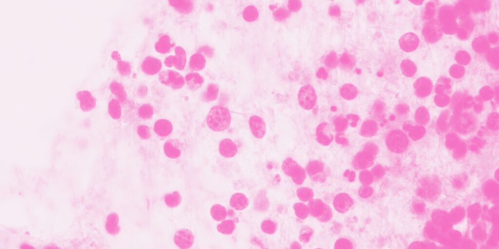
Mesothelioma Cancer
Mesothelioma Cancer Mesothelioma is a rare and serious cancer that affects the mesothelium, or lining, of various organs. You are at risk of developing this cancer if you have been exposed to asbestos. There is a 20-40 year latency between exposure and cancer development. Every year, there are approximately 3,000 new cases of mesothelioma in the United […]
Asbestos Roof Shingles: Exposure Risks and What To Do
Asbestos Roof Shingles: Exposure Risks and What To Do Asbestos shingles became an industry standard as early as the 1920s due to their fire resistance and durability. Unfortunately, the asbestos fibers within the shingles had the potential to cause deadly diseases. The public only became aware of this after the toxic shingles were installed on […]
Asbestos Roof Felt
Asbestos Roof Felt Asbestos roofing felt provided a fire-resistant underlayment for roofs from the 1940s until well into the 1980s. Uncoated roofing felt was comprised of up to 87 percent asbestos. Roofers may have consequently been exposed to significant levels of asbestos almost daily when it was in popular use. They may still encounter asbestos […]
Asbestos Insulation: Identification and What To Do
Asbestos Insulation: Identification and What To Do The insulating qualities of asbestos are among its most valuable properties. Asbestos insulation was used in virtually every building constructed between the 1930s and the late 1970s and in some homes constructed until 1990 and beyond. As a result, millions of workers and homeowners have contracted life-threatening asbestos-related […]
Asbestos Ducts: Asbestos Tape on Ductwork and Duct Wraps
Asbestos Ducts: Asbestos Tape on Ductwork and Duct Wraps Asbestos duct tape can commonly be found on the ductwork of forced air heating systems installed between the 1950s and 1980s. This material was used to seal air gaps where the ductwork joints met. It was also common for ductwork to be fully covered with asbestos-insulating […]
Asbestos in Drywall
Asbestos in Drywall Drywall is the primary material in walls, ceilings, and partitions in most residential and commercial buildings in the United States. From 1940 to 1980, asbestos was added to drywall components for strength and reinforcement. Exposure to asbestos in drywall may occur at home or in the workplace, resulting in a risk of […]